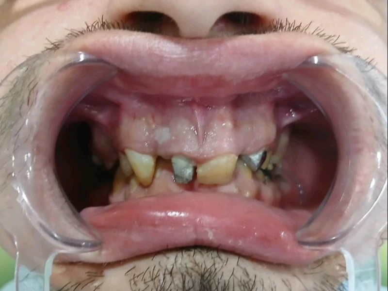
Gubitak većeg broja zuba ne utiče samo na estetiku, već i na funkciju, govor i kvalitet života.
ALL-on-X je savremeni implantološki koncept koji omogućava potpunu rehabilitaciju vilice pomoću 4, 5 ili 6 implantata (All-on-4, All-on-5, All-on-6), u zavisnosti od anatomije i kliničke procjene.
Ova metoda predstavlja stabilnu i dugoročnu alternativu mobilnim protezama.
U zavisnosti od individualne anatomije i kliničke situacije, određuje se optimalan broj i raspored implantata (4, 5 ili 6), čime se postiže stabilna osnova za fiksnu protetsku konstrukciju. Ovakav pristup omogućava precizno planiranje i maksimalnu funkcionalnost za svakog pacijenta.
Implantati se postavljaju u vilicu i služe kao stabilna osnova za fiksnu protetsku konstrukciju. Broj implantata (4, 5 ili 6) određuje se individualno, u skladu sa anatomijom, funkcionalnim i estetskim zahtjevima pacijenta.
Procedura se izvodi u lokalnoj anesteziji, uz mogućnost analgosedacije. Oporavak je kontrolisan i sličan klasičnim implantološkim zahvatima.
Privremeno rješenje omogućava funkciju i estetiku tokom perioda zarastanja, nakon čega se postavlja trajna konstrukcija.




Smeta vam boja, oblik ili raspored zuba? Zakažite tretman Hollywood Smile i dobijte osmijeh kakav zaslužujete.
Zahvaljujući preciznom planiranju i organizaciji terapije, moguće je u kratkom vremenskom periodu realizovati ključne faze ALL-ON-X zahvata. Ova procedura omogućava brzu funkcionalnu i estetsku rehabilitaciju, što je čini pogodnom i za pacijente koji dolaze iz inostranstva.
Saznajte da li ste kandidat za ALL-ON-X i koje su Vaše mogućnosti. Stručna procjena je prvi korak ka stabilnom, fiksnom i dugoročnom rješenju.
ALL-on-X je savremena metoda ugradnje fiksnih zuba na 4, 6 ili više implantata. Omogućava vam da dobijete potpuno novi osmijeh – često već u roku od 24 sata.
Kandidati su osobe koje:
Najčešće su potrebna 3 dolaska:
Za pacijente koji dolaze izvan Banja Luke, obezbeđujemo kompletnu organizaciju boravka, uključujući smeštaj i organizovan aerodromski transfer kako bi ceo proces bio što jednostavniji i bez stresa.
Ne. Zahvat se radi u lokalnoj anesteziji (ili po potrebi u sedaciji), tako da je bezbolan. Nakon zahvata može se javiti blagi otok ili nelagoda, koja prolazi kroz nekoliko dana.
Da. Nakon oporavka možete jesti gotovo sve, uključujući i tvrđu hranu, bez bojazni da će se zubi pomjerati.
mplantati mogu trajati 20 i više godina, a često i doživotno uz pravilnu higijenu i redovne kontrole (minimalno jednom godišnje).
Naša veb-stranica koristi kolačiće i slične tehnologije kako bi vam pružila personalizovano iskustvo. Vašom saglasnosti omogućavate nam da pratimo kako koristite našu stranicu i da je kontinualno poboljšavamo. Ako ne prihvatite ove tehnologije, određene opcije i funkcije neće biti dostupne.