Bez čekanja, bez privremenih rješenja, bez skrivenih troškova.
Tretman „Zubi za dan“ podrazumeva da za samo nekoliko sati dobijete fiksne zube na implantima koji se ne skidaju. Tehnika ALL ON 4 / 6 omogućava potpuno prirodan osećaj, govor i žvakanje. Naš stručni tim, koji predvodi dr Vlatko Kalamanda već 20 godina uspešno primenjuje tehniku ALL ON 4 i ALL ON 6.




Smeta vam boja, oblik ili raspored zuba?
Zakažite tretman zubi za 24h i dobijte osmijeh kakav zaslužujete.
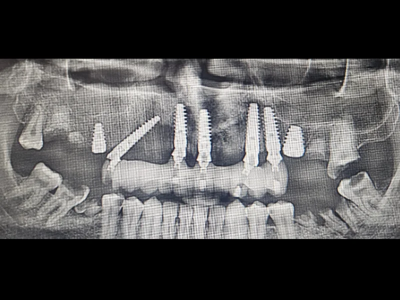
ALL ON 4/6 omogućava fiksne zube za nekoliko sati od ugradnje implantata. Zahvaljujući posebno planiranoj terapiji, savremenim implantatima i preciznoj tehnici ugradnje, implantati se mogu odmah opteretiti privremenim fiksnim radom koji pacijent ne skida. Implantati se postavljaju pod specifičnim uglovima kako bi se maksimalno iskoristila postojeća kost u prednjim regijama vilice i obezbedila stabilnost potrebna za nošenje fiksnog rada.
ALL ON 4 / ALL ON 6 metoda u velikom broju slučajeva eliminiše potrebu za dugotrajnim i skupim procedurama nadogradnje kosti, poput sinus lift zahvata. Time se značajno skraćuje trajanje celokupne terapije, smanjuje broj dolazaka u ordinaciju i štedi i vreme i novac pacijenta. Ono što je pacijentima posebno važno jeste činjenica da period bez zuba traje veoma kratko — svega nekoliko sati.
Jedna od najvećih prednosti ove metode jeste to što se cela procedura obavlja u okviru jedne hirurške intervencije. Zahvaljujući savremenim tehnikama i iskustvu tima, sama procedura je kontrolisana, sigurna i maksimalno prilagođena pacijentu. Već istog dana odlazite iz ordinacije sa novim, stabilnim osmehom. Oporavak je brz, nelagodnost minimalna, a već narednog dana većina pacijenata se vraća svojim svakodnevnim aktivnostima sa osećajem sigurnosti i samopouzdanja.
ALL ON 4 / ALL ON 6 koncept omogućava rešavanje i najzahtevnijih slučajeva nedostatka vilične kosti. Zahvaljujući naprednim tehnikama i specijalnim implantatima (zigomatični, pterigoidni i nazalni), moguće je pronaći stabilno i dugotrajno rešenje bez dodatnih komplikacija.
Saznajte da li ste kandidat za ovu proceduru bez dolaska u ordinaciju.
Idealni kandidati su osobe koje su izgubile većinu ili sve zube, kao i pacijenti sa totalnim protezama. U većini slučajeva, terapija je moguća i kod smanjene količine kosti.
Celokupan proces izrade trajnih (keramičkih) zuba traje ukupno 2 mjeseca i realizuje se kroz dvije posjete u našu ordinaciju.
Prvi dolazak traje 2 dana i obuhvata detaljan pregled, dijagnostiku i planiranje terapije, kao i glavni hirurški zahvat.
Tokom ove faze uklanjaju se preostali zubi (ukoliko je potrebno), ugrađuju implantati i postavljaju fiksni privremeni zubi – tako da već nakon prve posjete imate funkcionalan i estetski osmijeh.
Drugi dolazak traje 4–5 dana i predstavlja završnu fazu – protetsku rehabilitaciju.
Tada se izrađuju i postavljaju definitivni radovi, odnosno hibridne ili cirkonske nadoknade (trajni zubi), koje pružaju dugotrajno, stabilno i prirodno rješenje.
Za pacijente koji dolaze izvan Banja Luke, obezbeđujemo kompletnu organizaciju boravka, uključujući smeštaj i organizovan aerodromski transfer kako bi ceo proces bio što jednostavniji i bez stresa.
Zahvat se radi u anesteziji, tako da je potpuno bezbolan. Nakon intervencije može se javiti blaga nelagodnost i bol, i ona se rješava lokalnim analgeticima.
Uz pravilnu higijenu i redovne kontrole jednom godišnje minimalno, implantati mogu trajati dugi niz godina, često i doživotno.
Naša veb-stranica koristi kolačiće i slične tehnologije kako bi vam pružila personalizovano iskustvo. Vašom saglasnosti omogućavate nam da pratimo kako koristite našu stranicu i da je kontinualno poboljšavamo. Ako ne prihvatite ove tehnologije, određene opcije i funkcije neće biti dostupne.